近期尤其要注意!22歲男乘客剛下火車「摔倒在地」被急送加護病房 醫生:和大家「常見習慣」有關
這個夏天你外出旅遊了嗎?
外出遊玩雖開心,
但小編要提醒大家,
長途趕路最好動一動!

近日
一名22歲年輕人剛下火車
Advertisements
半天內竟發生了4次心臟驟停
被緊急送往醫院救治
原因就和大家都有的習慣有關
男子心臟停跳4次
命懸一線

圖為火車站現場照片,熱心路人拍攝
Advertisements
近日,小韓(化名)從外地坐火車到深圳,剛出站,突然眼前一黑摔倒在地。路人紛紛圍了上來,打電話叫救護車的時候,小韓已經無意識無呼吸無心跳,熱心市民持續心肺復甦。
120車很快趕到。可就在送醫路上,他再次出現心跳驟停,急救醫生按壓5分鐘,把他救了回來。
凌晨1點15分,小韓被送到深圳大學總醫院急診科,當時心率達到每分鐘200次,出現了代謝性酸中毒、低鉀血症癥狀,血氧飽和度較差。
急診醫生緊急進行氣管插管幫助他呼吸,之後第三次出現心跳驟停。
小韓被送入重症監護室,做了血管造影等各項檢查。很快,檢查結果出來了:「肺栓塞」!「危重型血栓性肺栓塞」!
隨後,小韓第四次出現心跳驟停。於是醫院趕緊安排手術,爭分奪秒溶栓治療,終於救下來小韓。
Advertisements

經過了解,小韓今年22歲,沒有基礎疾病,但之前打工非常辛苦,經常凌晨3點才睡覺,出發前已有胸痛的情況。這次一個人坐火車去深圳打工,大概坐了5個小時,久坐後突發肺栓塞,「沒想到差一點人就不在了!」
有醫院一個月搶救十多人
久坐搓麻的人要警惕!
刷劇、打牌、長途旅遊,是多少家庭假期的休閑套餐。殊不知這樣長時間的靜止不動,會造成下肢靜脈血液迴流緩慢、淤滯,形成下肢深靜脈血栓,就是我們所說的血塊。
久坐後開始活動,血栓脫落,隨血液迴流到心臟,繼而又達到肺動脈,就會造成「肺栓塞」,使肺臟缺血、缺氧引起胸痛、氣短、咯血,嚴重時會猝死。這種情況醫學上又叫做「牌桌綜合征」「經濟艙綜合征」。

Advertisements
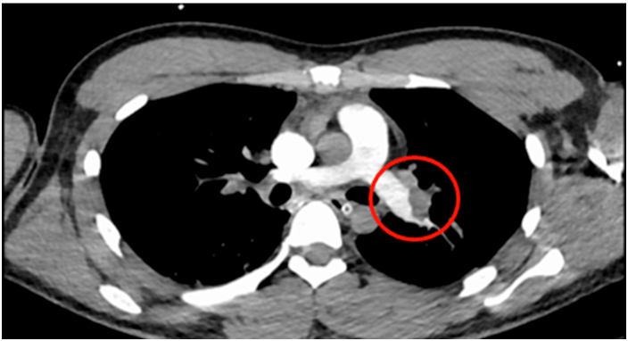
雙下肺動脈主幹完全閉塞
(圓圈所示是堵住肺動脈的血塊)
四川省人民醫院急救中心副主任醫師蘇明華表示,暑期是旅行旺季,乘坐交通工具易久坐不動,一個月醫院急診科就搶救了10多個肺栓塞病人。
國際血栓與止血學會提供的資料顯示:全球每16秒就有1人患靜脈血栓栓塞性疾病,每37秒就有一人死於該病。
最可怕的是,它明明是一個高發突發重病,但自行就診率非常低,癥狀跟其他病容易混淆,如果不專門去查,有時候都不一定能夠發現它。
此前也有類似案例

▼