30歲男做膽結石手術!竟意外發現「癌王」崩潰大哭:我不沾煙酒啊 醫生:只因愛做這件事
胰腺癌,是惡性程度極高的消化道腫瘤,被稱為「癌症之王」,但近年來其發病呈現年輕化趨勢。
30歲的趙磊(化名)一直在浙江打拚事業,自從結婚生子後,他比從前更努力了,為了老婆孩子創造更好的生活,自己的工作壓力難免更大了。
由於平時不抽煙、不喝酒,也沒有特別的興趣愛好,有時候為了緩解精神壓力,熱愛美食的趙磊會選擇用「吃」,來滿足口腹之慾。
紅燒肉、炸雞、火鍋、燒烤、榴槤、蛋糕……統統都不能少,全都是他的最愛,大快朵頤後總能帶來超強的精神滿足,再大的壓力都煙消雲散,也讓趙磊越來越難抵擋美食誘惑。

Advertisements
這個器官,最怕暴飲暴食!
然而,貪圖一時的味覺享受,代價卻是失去健康。最近半年來,趙磊越來越頻繁往返醫院,動不動就要因為肚子痛到跑到急診。原來,趙磊不僅有脂肪肝、慢性胰腺炎,胰管內還有大量的結石,雖然醫生通過微創幫他清理了部分結石,但仍有殘餘的頑固結石,很難清理乾淨,再加上趙磊動不動就大飽一餐,就導致他的腹痛癥狀越來越頻繁了。
直到最近,趙磊的情況越來越嚴重,腹痛、嘔吐輪番上陣,被折磨到不行。這次他決定到杭州的醫院看看,於是來到了杭州市第一人民醫院。
由於經歷過幾次體外碎石、內鏡取石都沒能達到效果,消化內科醫生建議趙磊通過外科手術取石。於是,他找到了肝膽胰外科主治醫師楊祺俊,沒想到這個過程中。

慢性胰腺炎,竟發展成了「癌中之王」
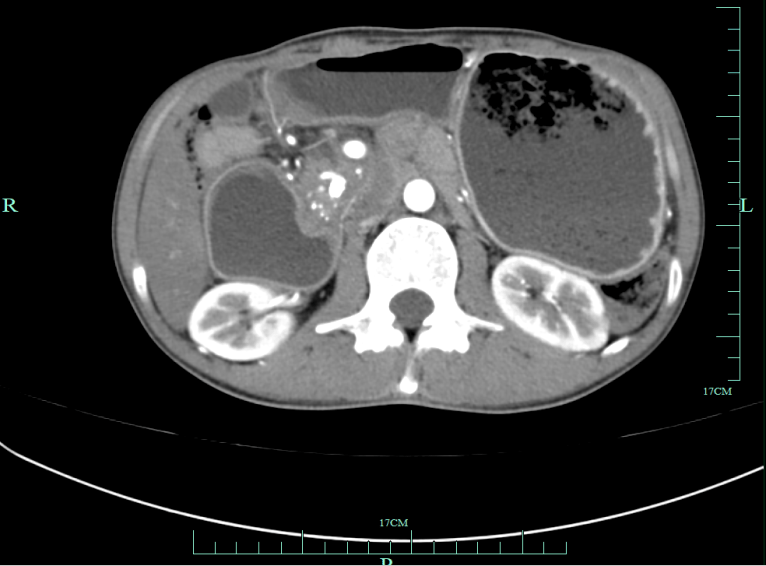
趙磊的腹部CT顯示胰頭異常,考慮腫瘤病變的可能。年紀輕輕怎麼會得腫瘤呢?就在趙磊以為結果可能弄錯了的時候,核磁、病理穿刺等各項檢查指向了同一個結果——「胰腺癌」。
這下趙磊凳子都坐不穩了,怎麼也不敢相信眼前的結果……
楊祺俊在進一步得知趙磊情況後,發現了癥結所在,雖然趙磊沒有家族史,也不抽煙喝酒,不接觸化學物品,但唯獨喜愛美食,經常要暴食。然而,這個看上去沒啥「毛病」的喜好,偏偏就是最大的問題。
